ガムピーリング
2024/06/08
手書き看板を新しくしました(*^^*)
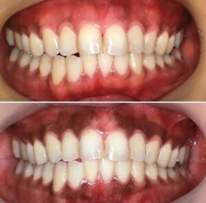
皆さん歯ぐきの黒ずみ気になったことありませんか?
昔から黒い歯ぐきにコンプレックスがある方はもちろん、普段は気付かなかったけど言われてれば私黒いかもと、少し歯ぐきをチェックしてみてください!
その黒い歯ぐきはピンク色の歯ぐきにすることができます。
施術は簡単で黒い歯ぐきにお薬を塗るだけです。ヒリヒリしたり、3日間お痛みがありますが1週間ぐらいで綺麗な歯ぐきになります。
〈ガムピーリングはこんな方にオススメ!〉
・歯茎が黒ずんでいるのが気になる方
・タバコを吸う方、禁煙した方
(長年の喫煙で黒ずんでしまった方)
・ホワイトニングをした方
・結婚式前のカップル
・写真撮影を控えている方
・接客業の方
・食物の刺激による黒ずみ
・遺伝的要因etc...
(注)被せ物のメタルで沈着してしまった歯肉は薬剤での除去はできません。
ガムピーリングができない方
・金属の色うつりによる歯茎の黒ずみ
・フェノール、アルコール類のアレルギーがある方
・重度歯周病の方
気になる方はお気軽にお尋ねください!
お口の中が健康なピンク色の歯ぐきになるだけでも、お顔の印象がだいぶ変わると思います!
患者さまのお口のことへのコンプレックスが少しでも軽減できますよう、ご相談お待ちしております!
看板はエレベーター前にありますので皆様ご覧ください!!!
医療法人社団 新芽会 近藤歯科:https://kondoh-shika.or.jp/
〒214-0014 川崎市多摩区登戸2043 小田急マルシェ2-3F
電話:044-932-0418
交通アクセス
小田急電鉄小田原線 向ヶ丘遊園駅 徒歩0分

